-
ONON
TECNOLOGIA INOVADORA Tecnologia acessível O Dr. Caro da Dimension Robotics foi projetado para restaurar a mobilidade de vítimas de derrame sem sessões de fisioterapia caras. Trata-se de um braço robótico equipado com alça motorizada, conectado a uma tela de … […]
Leia a matéria completa -
motorCITROEN AMI ELÉTRICO DE DOIS LUGARES POR £ 17 POR MÊS
Carlos Abeleira O CARRO É UMA REVOLUÇÃO NA MOBILIDADE URBANA. O MODELO SERÁ LANÇADO NA EUROPA E LIBERADO PARA MAIORES DE 16 ANOS PARA CONCORRER COM MOTOS, BICICLETAS E TRANSPORTE PÚBLICO. O Ami é um veículo elétrico peculiar de … […]
Leia a matéria completa -
comportamentoEu lavei a louça, então você deve me amar!
Glenn Geher – Psychology Today – Estados Unidos Compreendendo as maneiras de se relacionar com seu parceiro. Jack chega em casa do trabalho e está derrotado. O caminho de volta é longo e trabalhar como contador corporativo é desafiador. Ele … […]
Leia a matéria completa -
comportamentoPor que as celebridades são alvos para os haters?
Pamela B. Rutledge – Psychology Today – Estados Unidos O recente suicídio de uma celebridade tornou claro os perigos da cultura do “cancelamento das redes sociais”. O suicídio da celebridade britânica Caroline Flack colocou em foco o poder e alcance … […]
Leia a matéria completa -
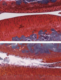
Good NewsGood News
COMBINAÇÃO DE MOLÉCULAS REALMENTE INVERTE ARTRITE EM CARTILAGEM Pessoas com osteoartrite – artrite com “desgaste” – tinham, no passado, opções bem limitadas de tratamento, como analgésicos ou cirurgia de substituição articular. Agora, pesquisadores de Salk, nos Estados Unidos, descobriram que … […]
Leia a matéria completa
